大片段基因簇(尤其是高附加值生物分子的基因簇)的克隆是微生物功能基因组研究中最为基础和关键的步骤。传统基于PCR的克隆方法或者通过构建基因组文库筛选等方法存在着克隆片段长度的限制、易产生突变、步骤复杂、效率低下等缺点。因此开发一种快速简单的方法来获得大尺度的基因簇片段至关重要。
近日,中国科学院微生物研究所娄春波课题组与清华大学、特拉维夫大学合作开发了利用CRISPR-Cas9系统一步靶向克隆上百kb的基因簇片段的方法。该方法利用RNA-介导的CRISPR-Cas9核酸内切酶精确地切割所需克隆的任意基因簇片段两侧,并且通过Gibson组装方法将切割下来的大片段与目标载体进行连接,达到一步克隆的目的。利用该方法我们成功克隆了不同尺度(50-150 kb)的大肠杆菌基因组片段,并在其他细菌(枯草芽孢杆菌,链霉菌)中成功克隆了芽孢、金霉素、杰多霉素等生物合成基因簇。
该技术已于9月1日在Nature Communications 杂志在线发表,文章第一作者是清华大学博士生姜文君,微生物所赵学金做出了前期领先的重要贡献,并已经与合作单位联合申请了国际专利及国内专利。
图1. CATCH技术示意图
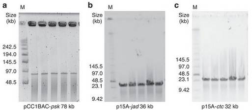
图2. 应用CATCH技术克隆芽孢(a),杰多霉素(b),金霉素(c)生物合成基因簇鉴定结果
生命及再生医学技术精华帖
1.“细胞红娘”蛋白研究取得新突破
http://www.biotowntek.com/bbs/showtopic-85072.aspx
2.科学家发现具有现代人特征的最古老手骨
http://www.biotowntek.com/bbs/showtopic-85073.aspx
3.Cell metab:运动为什么会让人感到愉悦?
http://www.biotowntek.com/bbs/showtopic-85085.aspx
4.个性订制”不再困难 中国科学家在金属酶理性设计领域取得新进展
http://www.biotowntek.com/bbs/showtopic-85088.aspx
5.抗病葡萄遭葡萄酒商抵制 仇视转基因食品是诱因
http://www.biotowntek.com/bbs/showtopic-85000.aspx
6.含人血清白蛋白转基因猪在鄂培育成功
http://www.biotowntek.com/bbs/showtopic-84996.aspx
7.科学家建立10中特定疾病的干细胞株
http://www.biotowntek.com/bbs/showtopic-85039.aspx
8.Gut:阻止肝癌进展的新方法
http://www.biotowntek.com/bbs/showtopic-84957.aspx
9.3型丙肝福音!百时美丙肝新药Daklinza获FDA批准
http://www.biotowntek.com/bbs/showtopic-84959.aspx
10.我们准备好应对下一次疫情了吗?
http://www.biotowntek.com/bbs/showtopic-85049.aspx
11.基因修饰的酵母菌将糖合成鸦片
http://www.biotowntek.com/bbs/showtopic-85045.aspx
12.央视:国务院力促大数据发展,优先推动医疗领域
http://www.biotowntek.com/bbs/showtopic-85081.aspx
13.海马脂肪代谢异常与老年人记忆力减退有关
http://www.biotowntek.com/bbs/showtopic-85080.aspx
14.Nature Medicine:中科院科学家在肿瘤靶向抗体免疫治疗领域取得新进展
http://www.biotowntek.com/bbs/showtopic-85079.aspx
15.转化医学论坛正式上线,前期提供免费广告位,诚邀各大企业入驻!
http://www.biotowntek.com/newsDetail.aspx
